Assalamualaikum..
Masa 20/11/2013 hari tu, aku dah buka braces dah. Masa buka tu, doktor just check-check sikit, then dah sure nak buka, doktor buka dulu dawai atau elastic tie, lepas tu tanggalkan wire. Lepas tu tak sure pula doktor pakai apa sebab tak nampak. Yang penting ada pakai air masa nak tanggalkan bracket.
Kejap je, dah tanggal semua bracket, dalam 15-20 minit la. Bila braces tu dah takda, aku rasa lain kat mulut ni tau. Sebab dah takda braces kan, macam rasa rapat bibir dengan gigi haha. Sebelum ni kan ada bracket tu kan. Lidah ni pun mula la nak merasa gigi tu. Rasa licin je bila dah takda braces. Something different u know.
Aku pun cakap la, 'doktor rasa lain la'. Doktor senyum lepas tu dia kata 'biasalah tu, ok cepat nak ambil gambar'. Amboi doktor ni, ok ok haha.
By the way, aku ada minta doktor email kan gambar gigi aku sebelum dan selepas ber' braces. So comel omomomo betul klinik ni, efisyen betul, malam lepas buka braces tu, aku dah dapat dah emailnya.
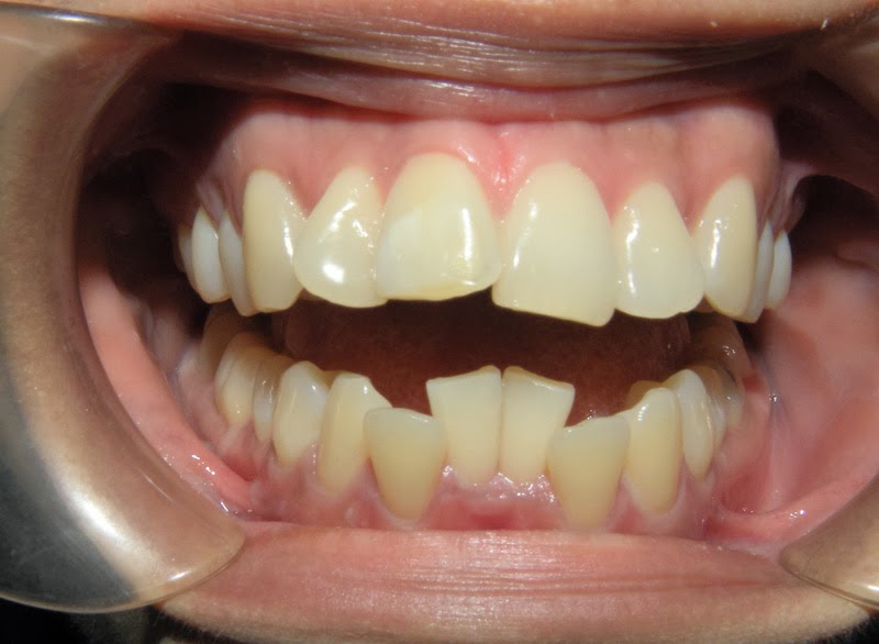
So, sekarang aku nak tunjukkan gambar sebelum dan selepas pakai braces,
WARNING! gambar tersangat jelas sebab doktor pakai kamera power punya, lens dia besar dan clear sangat gambarnya. Kalau yang penggeli tahap melampau tu aku minta maaf eh kalau korang tengok. Risiko tanggung sendiri.
Gambar atas adalah sebelum pakai braces, gambar bawah ialah selepas pakai braces. Aku cuma nak cakap pemakaian braces sangat-sangat membantu aku. Mencantikkan susunan gigi untuk senyuman yang lebih menawan dan bentuk rahang yang lebih sharp chewah! Alhamdulillah, bersyukur sangat pemakaian braces berjaya untuk aku. Terima kasih diucapkan kepada doktor yang begitu berpengalaman dalam memastikan gigi aku tersusun ;)
Tahap yang paling sukar ialah gigi kacip atas bahagian kanan (tapi kiri untuk dalam gambar). Perasan tak dia macam tersenget tu. Makan masa berbulan-bulan tau untuk pusingkan gigi tu, doktor ketatkan besi sedikit demi sedikit setiap bulan pergi check up tu.
Tahap sukar kedua ialah gigi kacip bawah, perasan kan dua yang tengah je berada pada keadaan normal, masa mula-mula pakai braces, dua tengah tu tak dipasangkan bracket lagi. Doktor tarik yang gigi kacip sebelah kiri dan kanan untuk naik ke atas, oh aku cabut 4 batang gigi sebelah gigi taring atas dan bawah. Aku sangat kagum sebab space gigi yang dicabut tu tertutup dengan baik sekali. Alhamdulillah, thank you doktor!
Untuk, maklumat lebih lanjut tentang braces ni boleh klik link dekat sebelah kanan blog ni eh. Aku ada cerita sikit tentang persiapan sebelum braces dan kesakitan semasa pakai braces.
Ingat tau, lepas buka braces, pengalaman pakai retainer plastik pulak. Sekarang, aku kena pakai retainer jenis ni :
Image : Google
Lepas bukak,sebulan lepas tu doktor review. Lepas ni, appointment aku bulan 6, sebab lepas 6 bulan akan review lagi. Retainer ni buka untuk makan dan gosok gigi sahaja. Kena konsisten pakai sebab korang tak nak kan gigi yang dah tersusun tu jadi tak tersusun semula.
Ok semoga bermanfaat, Asalamualaikum.
Carian Popular Ke Sini:
- braces gigi
- braces sebelum dan selepas
- pergigian
- cara rapatkan gigi
- kenapa perlu cabut gigi untuk pakai braces
- pengalaman memakai retainer
- pengalaman pakai retainer







